شكرا لقرائتكم خبر عن أطباء: رقص البريك دانس يسبب ثقوب الرأس والصلع والان نبدء بالتفاصيل
الشارقة - بواسطة ايمن الفاتح -
وثق تقرير طبي إصابة راقص "بريك دانس" بما يعرف ب" ثقب دوران الرأس" في أعلى رأسه بعد تكراره ممارسة حركة الدوران بالرأس الشهيرة في هذا النوع من الرقص.
وكانت الكتلة المنتفخة من الأنسجة، التي أزالها الأطباء جراحيًا، مؤلمة عند لمسها وكانت مرتبطة بدائرة من تساقط الشعر وتُسمى هذه النتوءات الخالية من الشعر على الرأس ب "ثقوب دوران الرأس"، وعلى نطاق أوسع، تسمى الحالة أحيانًا "متلازمة الإفراط في استخدام رقص البريك دانس".
وعلى الرغم من أن "ثقب دوران الرأس" معروف داخل مجتمع رقص البريك دانس، إلا أنه نادرًا ما يتم توثيقه في الأدبيات الطبية،" حيث لاحظ الأطباء في ورقة بحثية نُشرت يوم الخميس (10 أكتوبر) في مجلة BMJ Case Reports. أن علاج هذه النتوءات على الرأس بالجراحة "يبدو أنه تدخل ناجح". ويتضمن رقص البريك دانس، حركات قوية تنطوي على التوازن في أوضاع غير متوازنة أو الدوران على قمة الرأس. وكان الراقص في هذه الحالة، وهو رجل في أوائل الثلاثينيات من عمره، يمارس أنواعًا مختلفة من حركات الدوران بالرأس لأكثر من 19 عامًا. وذكر أنه يتدرب حوالي خمس مرات في الأسبوع لمدة ساعة ونصف في المرة الواحدة؛ ويقضي حوالي دقيقتين إلى سبع دقائق من كل جلسة في الضغط المباشر على الجزء العلوي من رأسه.
وقال الرجل إنه لاحظ وجود نتوء مصحوب بتساقط الشعر على فروة رأسه. وفي السنوات الخمس الماضية، نما النتوء وأصبح حساسًا عند اللمس.
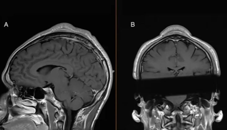
وأشار أطباء الرجل إلى أن "وجود الآفة وعدم الراحة المصاحب لها كانا مزعجين من الناحية الجمالية للمريض، لكن النتوء لم يمنع المريض من مواصلة أنشطة الدوران بالرأس". وعند فحص النتوء، لاحظ الأطباء أن الجلد الموجود فوقه يتحرك بسهولة، مما يشير إلى أن الكتلة كانت محصورة بين الجلد والجمجمة. وقد أكد فحص هيكلي لرأس الرجل أن هذه كانت الحالة، كما أظهر أن الجلد فوق النتوء والجمجمة أدناه أصبح أكثر سمكًا من الأنسجة المحيطة بهما.
وعلى الرغم من أن ظاهرة "انتفاخ الرقص البريك دانس" هذه لم يتم البحث فيها جيدًا، إلا أن الدراسات الموجودة تشير إلى أن لاعبي الرقص البريك دانس الذين يمارسون حركة الدوران الرأسي قد يكونون عرضة لتساقط الشعر وظهور نتوءات في أعلى رؤوسهم.
وتشير هذه الأدبيات المحدودة إلى أن ممارسة حركة الدوران الرأسي ثلاث مرات أو أكثر في الأسبوع قد تكون مصحوبة بأعلى خطر لتساقط الشعر، مقارنة بممارسة الحركة بشكل أقل تكرارًا.
تابعوا آخر أخبارنا المحلية والرياضية وآخر المستجدات السياسية والإقتصادية عبر Google news
