القاهرة - سمر حسين - صحة
كتب: الوطن -
05:55 م | الثلاثاء 04 فبراير 2025

لا تزال دول العالم تضع تحذيراتها الوقائية ضد الأمراض والفيروسات المنتشرة والتي يمكنها أن تحصد المئات من الأرواح، وخلال الأيام الأخيرة أعلنت السلطات الصحية في المملكة المتحدة تسجيل إصابات عديدة بالسلالة الجديدة القاتلة من فيروس جدري القرود «1ب»، وفقًا لما نقلته صحيفة ديلي ميل البريطانية، وأكدت الصحيفة أن هذه السلالة، التي وصفها الخبراء بأنها الأكثر خطورة حتى الآن، تسببت في وفاة واحد من كل عشرة مصابين بها، ويُعتقد أنها مرتبطة بحالات إجهاض في إفريقيا.
هل جدري القرود سريع الانتشار؟
وفي تصريحات خاصة لـ جريدة «الوطن»، قال الدكتور أمجد الحداد، استشاري الحساسية والمناعة بهيئة المصل واللقاح، إن فيروس جدري القرود ليس بفيروس سريع الانتشار مثل كورونا، حيث يتم انتقاله بشكل رئيسي عبر التلامس المباشر مع الشخص المصاب أو إفرازاته، ما يجعل انتقاله محدودًا نسبيًا، خاصة في حال كانت البيئة مغلقة أو في وجود تلامس مستمر بين الأفراد، وأضاف أن الفيروس يتطلب فترة من التلامس الجسدي لفترة طويلة، سواء كان عبر ملامسة الجلد أو سوائل الجسم، لذلك فرص انتشاره على نطاق واسع منخفضة بالمقارنة مع كورونا.
وأكد الحداد أن الفيروس يظهر غالبًا في الأماكن المزدحمة أو بين الأشخاص ذوي المناعة الضعيفة، مشيرًا إلى أن السلالة الجديدة 1ب هي الأشد خطورة، وأنه في حالة انتقال العدوى، يجب اتخاذ إجراءات احترازية مثل العزل الطبي للفرد المصاب.
طبيب جلدية: اللقاح يقلل من العدوى
ومن جهته، أكدت الدكتورة إيمان سند، أستاذ الأمراض الجلدية والتجميل والليزر بكلية الطب جامعة بنها، أن فيروس جدري القرود يمكن أن يصيب أي شخص، سواء أطفالًا أو كبارًا، لكن الأشخاص ذوي المناعة القوية قد يكونوا أقل عرضة للإصابة.
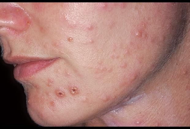
وأضافت لـ«الوطن» أنه في البداية، تظهر الأعراض بشكل مشابه للإنفلونزا، مثل ارتفاع درجة الحرارة، صداع، آلام في العضلات، وتضخم الغدد الليمفاوية، مع ظهور الطفح الجلدي المميز الذي يبدأ في الوجه ثم ينتشر إلى باقي أجزاء الجسم.
طرق انتقال الفيروس
وأوضحت الدكتورة إيمان سند أن الفيروس كان ينتقل في الأصل من الحيوانات إلى البشر، لكنه الآن يمكن أن ينتقل من إنسان لآخر، خاصة في حالة ضعف المناعة أو التلامس المباشر مع سوائل المصابين، وأضافت أن نسبة الوفيات في السلالة الجديدة قد تكون مرتفعة، لكن في الغالب يمكن التحكم في المرض من خلال العلاج الداعم والوقاية المناسبة.
وفيما يتعلق بإمكانية وجود علاج للفيروس، أوضحت الدكتورة إيمان سند أنه لا يوجد علاج خاص لفيروس جدري القرود حتى الآن، حيث تُستخدم العلاجات المضادة للفيروسات المخصصة للجدري التقليدي، وقالت برغم أن اللقاح ضد الجدري البشري لا يزال فعالًا في مواجهة جدري القرود، إلا أن الوقاية تبقى أفضل وسيلة لمكافحة الفيروس، خاصة من خلال العزل الطبي والرعاية الصحية المناسبة للمصابين.
وشددت الدكتورة إيمان سند في ختام تصريحاتها، على ضرورة اتباع الإجراءات الوقائية من خلال تجنب الاتصال المباشر مع المصابين، وأخذ اللقاح في الحالات الضرورية، موضحة أن منظمة الصحة العالمية أوصت بتطعيم المخالطين خلال فترة قصيرة من التعرض للفيروس لتقليل احتمالية انتقال العدوى.
