شكرا لقرائتكم خبر عن في وقت قياسي.. قسطرة تنقذ رضيعًا من ضيق الصمام الرئوي بالقصيم والان نبدء بالتفاصيل
الدمام - شريف احمد - استقبل مركز الأمير سلطان لطب وجراحة القلب بالقصيم، أحد المكونات تجمع القصيم الصحي، رضيعًا يبلغ من العمر 20 يومًا، محولًا من مستشفى الملك سعود في عنيزة، يعاني ضيقًا حادًا في الصمام الرئوي.
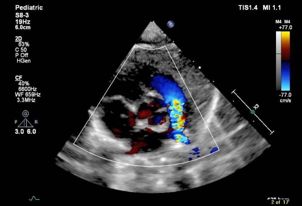
وأوضح تجمع القصيم الصحي أنه بعد إجراء الفحوصات الطبية اللازمة، التي شملت الكشف السريري، وأشعة صدى القلب، وتخطيط القلب، والتحاليل المخبرية والإكليلية، أظهرت النتائج وجود ضيق حاد في الصمام الرئوي وانحسار شديد في تدفق الدم.
استقرار الحالة الصحية للطفل
أشار التجمع إلى عرض الحالة على فريق مختص في قسطرة قلب الأطفال بالتعاون مع أطباء التخدير، وقرر الفريق إجراء عملية قسطرة قلبية لتوسيع الصمام الرئوي.
وتكللت العملية بالنجاح التام، وأُجريت خلال وقت قياسي لم يتجاوز 30 دقيقة، ما أسهم في استقرار الحالة الصحية للطفل الذي غادر المركز مع ذويه خلال 12 ساعة فقط من دخوله.
سرعة الاستجابة للحالات الحرجة
نوه التجمع بأن مركز الأمير سلطان لطب وجراحة القلب بالقصيم يُعد أحد المراكز الطبية المتخصصة في جراحة القلب والرائدة على مستوى المملكة.
وذلك لما يتميز به من كوادر طبية متخصصة وإمكانيات متقدمة، ما يُعزز من سرعة الاستجابة للحالات الحرجة، وتقديم خدمات طبية ذات جودة ومهنية عالية.
