القاهرة - سمر حسين - صحة

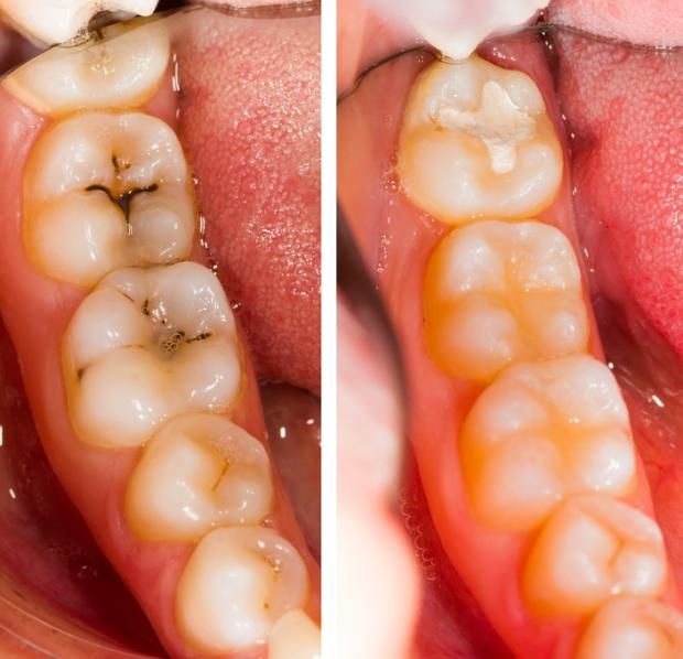
الاهتمام بصحة الأسنان، ومنع التسوس أو الأمراض المتعلقة بالأسنان لا تقتصر على الظهور بشكل مميز، وابتسامة جذابة وصحية فقط، فحسب، بل له القدرة على منع العديد من الأمراض التي قد تصيبك، فتكون علامة التسوس تسبب الإصابة بأورام الكلى والسكتة الدماغية، وغيرها من الأمراض، وفقًا لما أشارت إليه وزارة الصحة والسكان المصرية.
تدهور صحة الأسنان تسبب السكتة الدماغية
وأكدت وزارة الصحة والسكان المصرية، في حسابها الرسمي، أنّ صحة الجسم من صحة الفم، إذ استندت الوزارة على الدراسات العلمية الحديثة، التي تؤكد أن نظافة الفم والأسنان تؤثر على صحة العديد من أجهزة الجسم وعلى رأسها القلب والدماغ.
وأوضحت أن البكتريا المسببة في تسوس الأسنان والتهابات اللثة تتسبب في حدوث أزمات قلبية، وسكتة دماغي، فضلًا عن ارتفاع ضغط الدم، مرض السكر، الولادة المبكرة، أورام الكلى والبنكرياس والتهابات العيون والمفاصل.
كيفية تنظيف الأسنان بشكل سليم؟
ضرورة غسل الأسنان مرتين يوميًا على الأقل بشكل صحيح وخصوصا قبل النوم.
استخدام كمية مناسبة من معجون أسنان يحتوي على الفلورايد ويجب ألا تزيد الكمية المستخدمة على حجم حبة البازلاء.
يجب الانتباه إلى عدم تبليل فرشاة الأسنان بالماء قبل غسل الأسنان.
توضع الفرشاة على الأسنان بزاوية 45 درجة.
نبدأ بغسل الأسنان ابتداءَ من خط اللثة باتجاه السطح الماضغ للسن بحركة دائرية لطيفة.
ننتقل إلى السطح الداخلي للسن ونكرر نفس الحركة.
ننتقل إلى السطح الماضغ للسن ونقوم بغسله بحركة دائرية.
نقوم بغسل الأسنان الأمامية العلوية من الداخل بحركة سحب للأسفل، والأسنان الأمامية السفلية من الداخل بحركة سحب للأعلى.
عند الانتهاء من غسل الأسنان نقوم بتمرير الفرشاة على اللسان بشكل لطيف من أجل إزالة الجراثيم وإعطاء رائحة زكيه للفم.
يفضل استخدام الخيط السني للتنظيف ما بين الأسنان مرة يوميا على الأقل.
يفضل استبدال فرشاة الأسنان كل 3 أشهر أو عند رؤية تغيير في شكل أو انتظام شعيراتها.
