شكرا لقرائتكم خبر عن مسار الإصابات بتجمع الرياض ينقذ مقيم أصيب بـ"رصاصة في القلب" والان نبدء بالتفاصيل
الدمام - شريف احمد - تمكن فريق مسار الإصابات بتجمع الرياض الصحي الأول من إنقاذ حياة مقيم؛ أصيب بطلقة نارية في منطقة الصدر.
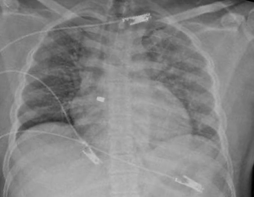
وفي التفاصيل، وصل المصاب إلى مدينة الملك سعود الطبية، في حالة غير مستقرة مع هبوط في الدورة الدموية، وأكدت الأشعة الصوتية وجود تجمع دموي حول القلب؛ مما أدى إلى حدوث الإندحاس القلبي وشلل القلب عن ضخ الدم، وبقيادة استشاري جراحة الإصابات د. طارق السباحي؛ تم نقل المريض بشكل عاجل إلى غرفة العمليات وفتح الصدر وفتح تجويف التامور وإزالة الضغط حول القلب وإصلاح الإصابة في عضلة البطين الأيمن.
وفي التفاصيل، وصل المصاب إلى مدينة الملك سعود الطبية، في حالة غير مستقرة مع هبوط في الدورة الدموية، وأكدت الأشعة الصوتية وجود تجمع دموي حول القلب؛ مما أدى إلى حدوث الإندحاس القلبي وشلل القلب عن ضخ الدم، وبقيادة استشاري جراحة الإصابات د. طارق السباحي؛ تم نقل المريض بشكل عاجل إلى غرفة العمليات وفتح الصدر وفتح تجويف التامور وإزالة الضغط حول القلب وإصلاح الإصابة في عضلة البطين الأيمن.
رصاصة بالقلب
تمكنت الجهود الطبية من إعادة استقرار علامات المريض الحيوية، ليتم بعد ذلك التدخل من فريق جراحة القلب لدراسة وجود الرصاصة داخل القلب؛ حيث تبيّن إستقرار الرصاصة في الصمام ثلاثي الشفرات، ليقوم استشاريين جراحة القلب د. حمد الحبيب و د. محمد بكير بإجراء عملية قلب مفتوح للمصاب؛ تم خلالها إزالة الرصاصة بنجاح دون وجود أي مضاعفات، حيث غادر المريض المستشفى خلال أيام وهو بصحة جيدة -ولله الحمد-.
الجدير بالذكر أن مسار الإصابات بتجمع الرياض الصحي الأول يقدم وبشكلٍ نوعي مختلف الخدمات الصحية العاجلة؛ لوجود كوادر طبية مؤهلة ومتخصصة وذات كفاءة عالية، تعمل وفق أحدث التقنيات اللازمة لتقديم الرعاية الشاملة والمتكاملة.
