شكرا لقرائتكم خبر عن "سعود الطبية" تنهي معاناة ثلاثينية من ورم نادر يزن 9 كجم والان نبدء بالتفاصيل
الدمام - شريف احمد - سجلت مدينة الملك سعود الطبية عضو تجمع الرياض الصحي الأول، إنهاء معاناة ثلاثينية من ورم نادر كان يضغط على الأعضاء الداخلية للتجويف البطني لأكثر من عامين.
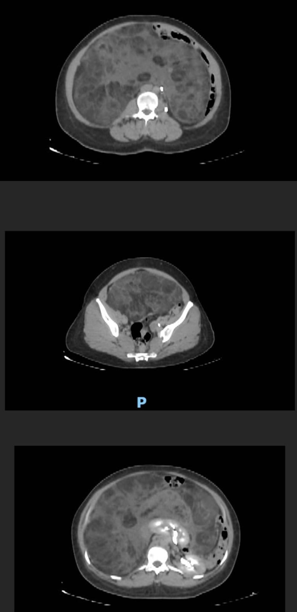
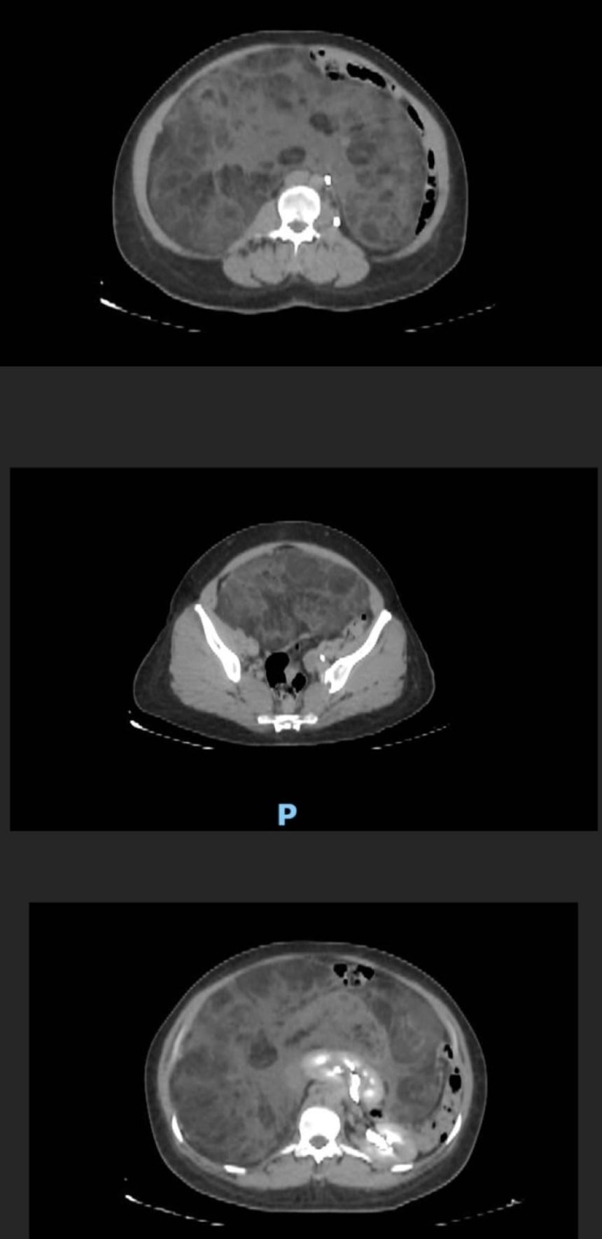
وأوضحت المدينة بأن الفريق الطبي للحالة بقيادة استشاري ورئيس وحدة جراحة أورام الجهاز العلوي والمناظير د.عبدالعزيز الربيع باشر الحالة بالفحص السريري وعمل الأشعة، تبين على إثرها وجود ورم (Sarcoma) نادر يضغط على الأعضاء الداخلية للتجويف البطني، يصل وزنه 9 كجم وبحجم ويصل إلى 45 سم كان يغطي كامل التجويف.
وأشارت المدينة إلى أن الفريق الطبي قرر إجراء عملية جراحية تبعًا للتوصيات العالمية لكبر حجم الورم وذلك لإزالته، حتى تستعيد قدرتها على العيش بشكل طبيعي وتمارس حياتها اليومية بشكل طبيعي، وتكللت -ولله الحمد- بالنجاح بدون أي مضاعفات.

ونوهت المدينة أن المريضة خرجت بعد عدة أيام، وهي بحالة صحية جيدة، وهذه الحاله تعد من الحالات المعقدة القليلة في المملكة.
يذكر بأن الفريق الطبي للحالة كان مكونًا من الاستشاري المشارك د.طلال الكثيري والأطباء المقيمين د.فرح التركي ود.سلطان المالكي.
وأوضحت المدينة بأن الفريق الطبي للحالة بقيادة استشاري ورئيس وحدة جراحة أورام الجهاز العلوي والمناظير د.عبدالعزيز الربيع باشر الحالة بالفحص السريري وعمل الأشعة، تبين على إثرها وجود ورم (Sarcoma) نادر يضغط على الأعضاء الداخلية للتجويف البطني، يصل وزنه 9 كجم وبحجم ويصل إلى 45 سم كان يغطي كامل التجويف.
وأشارت المدينة إلى أن الفريق الطبي قرر إجراء عملية جراحية تبعًا للتوصيات العالمية لكبر حجم الورم وذلك لإزالته، حتى تستعيد قدرتها على العيش بشكل طبيعي وتمارس حياتها اليومية بشكل طبيعي، وتكللت -ولله الحمد- بالنجاح بدون أي مضاعفات.

ونوهت المدينة أن المريضة خرجت بعد عدة أيام، وهي بحالة صحية جيدة، وهذه الحاله تعد من الحالات المعقدة القليلة في المملكة.
يذكر بأن الفريق الطبي للحالة كان مكونًا من الاستشاري المشارك د.طلال الكثيري والأطباء المقيمين د.فرح التركي ود.سلطان المالكي.
