القاهرة - سمر حسين - صحة

حذّرت منظمة الصحة العالمية، خلال الساعات الماضية، من عودة تفشي مرض جدري القرود في عدد من البلدان، لا سيما في أفريقيا، مؤكدة أنه بعد انعقاد لجنة الطوارئ بموجب اللوائح الصحية الدولية في 25 فبراير 2025، أعلن المدير العام للمنظمة أن الارتفاع المستمر في حالات الإصابة بجدري القرود (mpox) يشكل حالة طوارئ صحية عامة مثيرة للقلق الدولي.
الصحة العالمية تحذر من جديد بسبب انتشار جدري القرود
وأكدت الصحة العالمية، في بيان، استمرار تفشي مرض جدري القرود الناجم عن فيروس جدري القرود من النوع Ib (MPXV) في جمهورية الكونغو الديمقراطية وفي شرق وجنوب أفريقيا، مع تحديد حالات جديدة مرتبطة بالسفر، إذ سجلت أوغندا أعلى عدد من الحالات المؤكدة، أما جمهورية الكونغو الديمقراطية فلا تزال تعاني من عبء مرتفع من فيروس جدري القرود مع انتشار السلالتين الفرعيتين من الفيروس من النوع الأول.
وأشارت المنظمة إلى أنّ الوضع في لا يزال مقلقًا، فيما تشهد العديد من المناطق انتقالًا مستمرًا للعدوى.
معلومات عن سلالة Ib (MPXV) المنتشرة في جمهورية الكونغو الديمقراطية
وفقًا لمنظمة الصحة العالمية، تعد سلالة Ib (MPXV) من جدري القرود سلالة قاتلة ومتطورة بسبب الطفرات الجينية، إذ جرى اكتشافها في منتصف عام 2024، ويتم تداولها بشكل مشترك مع الفرع Ia (MPXV).
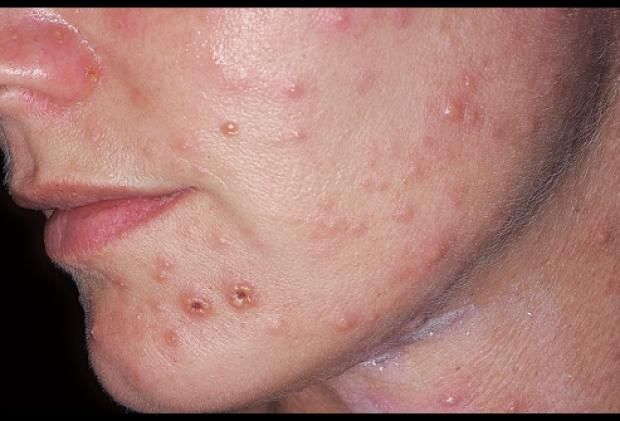
أعراض السلالة الجديدة القاتلة Ib MPXV
حمى
التهاب الحلق
صداع
آلام العضلات
آلام الظهر
تضخم الغدد الليمفاوية
إرهاق عام
الطفح الجلدي
ظهور الآفات على اليدين أو القدمين أو الصدر أو الوجه أو الأعضاء الحساسة
ظهور بقع مسطحة، ثم عقدة صلبة
ظهور بثور تحتوي على صديد.
كيفية التعامل مع السلالة Ib MPXV
احذر من فقع البثور أو حك القروح التي تظهر على الجلد.
احذر استخدام ماكينة الحلاقة في المناطق المصابة بالقروح حتى تلتئم.
احرص على ارتداء القفازات وواقي العينين وقناع التنفس.
