القاهرة - سمر حسين - صحة

التهاب اللثة حالة شائعة تؤثر على الأنسجة المحيطة بالأسنان، ويمكن أن تسبب الكثير من المعاناة إذا لم تُعالج بشكل مناسب، ويحدث هذا الأمر عادة بسبب تراكم طبقة رقيقة من البكتيريا على الأسنان واللثة، ما يؤدي إلى تهيجها وانتفاخها والشعور بالألم.
وإليك بعض الأعراض التي قد تدل على التهاب اللثة، وطرق الوقاية والعلاج، نقلًا عن الموقع الرسمي لوزارة الصحة والسكان المصرية:
ما هي أعراض التهاب اللثة؟
وذكرت وزارة الصحة والسكان 4 أعراض تؤكد التهاب اللثة على النحو التالي:
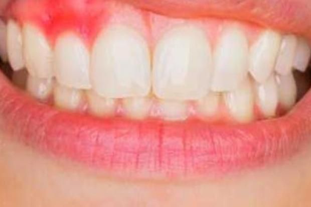
1- تغير اللون الوردي إلى الأحمر.
2- تورم حرف اللثة مع ألم بسيط.
3- نزيف من اللثة عند مضغ الأكل (الخيار والتفاح) أو الضغط بالأصابع أو استخدام الفرشاة.
4-الرائحة الكريهة للفم.
طرق الوقاية من التهاب اللثة
وعبر الموقع الرسمي لـ وزارة الصحة والسكان المصرية، إليكم 12 نصيحة للوقاية وعلاج التهاب اللثة:
1- عدم استعمال الفرشاة بعنف حتى لا يجرح اللثة.
2-لا تستعمل المواد الصلبة مثل ( الدبوس – إبرة – سلك – عود كبريت ) في تنظيف الأسنان لأنها تعرض اللثة للتمزيق والنزف.
3- استخدام كمية مناسبة من معجون أسنان يحتوي على الفلورايد، كما يجب ألا تزيد الكمية المستخدمة عن حجم حبه اللؤلؤ.
4- نبدأ بالتنظيف ابتداءَ من خط اللثة باتجاه السطح الماضغ للسن بحركة دائرية لطيفة.
5- ننتقل إلى السطح الداخلي للسن ونكرر نفس الحركة.
6- ننتقل إلى السطح الماضغ للسن ونقوم بتفريشه بحركة سحب للخارج.
7- ننتقل للسن التالي ونكرر العملية مع جميع الأسنان.
8- نقوم بتنظيف الأسنان الأمامية العلوية من الداخل بحركة سحب للأسفل، والأسنان الأمامية السفلية من الداخل بحركة سحب للأعلى.
9- عند الإنتهاء من غسل الأسنان نقوم بتمرير الفرشاة على اللسان بشكل لطيف من أجل إزالة الجراثيم وإعطاء رائحة زكيه للفم.
10- يجب أن تستمر فترة تفريش الأسنان من 2-3 دقائق.
11- غسل الفرشاة بعد استعمال جيدا بماء بارد ووضعها في مكان متجدد الهواء.
12- عدم وضع الفرشاة مبللة في علبة أو غلقها لأنه يساعد على تكاثر الجراثيم.
13- يتم تنظيف الأسنان من خط اللثة حتى حرف الأسنان.
