القاهرة - سمر حسين - صحة

في الأيام الأخيرة، تصدر اسم بيلي جويل، نجم «Piano Man»، عناوين الأخبار بعد إعلانه عن إصابته بمرض نادر في المخ يُدعى «استسقاء الرأس ذو الضغط الطبيعي» NPH، ما اضطره لإلغاء جميع عروضه المقبلة، وفي بيان مؤثر على «إنستجرام»، قال إن هذه الحالة تفاقمت بسبب العروض الموسيقية الأخيرة، ما أدى إلى مشكلات في السمع والبصر والتوازن، مؤكدا أنه يخضع حاليا لعلاج طبيعي خاص، بناءً على تعليمات الأطباء، ويشعر بالامتنان للرعاية الطبية والدعم الجماهيري، مؤكدا التزامه بصحته وتطلعه للعودة إلى المسرح قريبًا.
ما هو استسقاء الرأس ذو الضغط الطبيعي؟
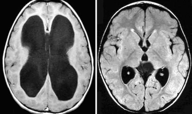
وبحسب منظمة الصحة العالمية، فإن استسقاء الرأس ذو الضغط الطبيعي اضطراب نادر يحدث نتيجة تراكم السائل الدماغي الشوكي CSF، داخل بطينات الدماغ، ما يؤدي إلى توسعها وزيادة الضغط على أنسجة المخ، رغم أن قياسات الضغط تكون غالبا ضمن الحدود الطبيعية، وهذا المرض يصيب بشكل أساسي كبار السن فوق سن الـ60 عاما، ويؤثر على الحركة، الذاكرة، والتحكم في المثانة.
الأسباب
- في الحالات الطبيعية، يتدفق السائل النخاعي عبر الدماغ والحبل الشوكي، لكن في بعض الحالات يحدث:
- انسداد يمنع السائل من التدفق، أو انخفاض قدرة الأوعية الدموية على امتصاصه.
- إنتاج المخ كمية زائدة من السائل النخاعي
وعند الأطفال، الأسباب الرئيسية تشمل العيوب الخلقية، والعوامل الوراثية، أو العدوى أثناء الحمل مثل الحصبة الألمانية، أما عند الرضع والأطفال الصغار، فقد يكون السبب التهابات الجهاز العصبي المركزي، مثل التهاب السحايا، والنزيف الدماغي، أو الإصابات أثناء أو بعد الولادة، وفي البالغين قد ينتج عن إصابات الدماغ، جراحة المخ، أو التهابات مثل التهاب السحايا.
الأعراض
تختلف الأعراض حسب العمر:
عند الرضع: زيادة سريعة في حجم الرأس، وقيء، ونعاس، وضعف العضلات.
- عند الأطفال: تغيرات في بنية الوجه، وحول العين، وصداع، وتشنجات، وتأخر نمو، وفقدان السيطرة على المثانة، ومشكلات في التركيز
- عند البالغين: صداع مزمن، وصعوبة المشي، ومشكلات بالمثانة، وضعف الذاكرة، ومشكلات في الرؤية
- عند كبار السن: تغيرات في المشي، وضعف الذاكرة، وفقدان السيطرة على البول أو البراز، وصداع.
- الثالوث الكلاسيكي للمرض عند الكبار هو: اضطراب المشي، وسلس البول، وتدهور معرفي «ضعف ذاكرة أو خرف».
طرق التشخيص والعلاج
تشخيص المرض يبدأ عادة بفحوصات تصويرية مثل الأشعة المقطعية أو الرنين المغناطيسي لرؤية توسع البطينات الدماغية، وقد يتم إجراء بزل قطني لتقييم الاستجابة بعد إزالة جزء من السائل النخاعي، والعلاج الأكثر شيوعًا هو إجراء جراحة لتركيب تحويلة «شنت» لتصريف السائل الزائد من الدماغ إلى جزء آخر من الجسم، ما يخفف الضغط ويحسن الأعراض لدى نسبة كبيرة من المرضى.
