القاهرة - سمر حسين - صحة

في ظل الخوف من انتشار الأمراض التنفسية الناتجة عن التغيرات المناخية ومشكلات البيئة، أعلنت وكالة الأمن الصحي البريطانية (UKHSA) عن اكتشاف أول حالة إصابة بشرية مؤكدة بفيروس جدري القرود من النوع Ib في المملكة المتحدة، ولكن لم يجري الإبلاغ عن أي تاريخ سفر للشخص المصاب، ما يشير إلى أن الفيروس شديد العدوى قد انتقل إليه من شخص آخر داخل المملكة المتحدة، وفقًا لتقرير نشرته صحيفة «الأندبندنت» البريطانية.
ووفقًا للمصدر، فإن ظهور هذه الحالة يثير القلق نظرًا لعدم وجود أي سفر مبلّغ عنه، ما يعني أن العدوى قد انتقلت داخل البلاد، وهو ما أوضحته وكالة الأمن الصحي البريطانية، مؤكدة أنه جارٍ التحقيق لتحديد مصدر العدوى، مشيرة إلى متابعة جميع المخالطين دون تسجيل أي حالات جديدة حتى الآن.
وأوضحت الوكالة أن خطر انتشار الفيروس في المجتمع البريطاني لا يزال منخفضًا.
ما هو فيروس جدري القرود من النوع Ib؟
وتعد السلالة الجديدة القاتلة Ib MPXV إحدى سلالات جدري القرود، المتطورة بسبب الطفرات الجينية، والتي وفقًا لمنظمة الصحة العالمية، اكتشفت في «كينشاسا» منذ يوليو 2024، إذ يجري تداوله بشكل مشترك مع الفرع Ia MPXV.
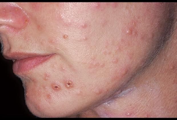
أعراض السلالة الجديدة من جدري القرود (Ib MPXV)
الحمى
التهاب الحلق
الصداع
آلام العضلات
آلام الظهر
تضخم الغدد الليمفاوية
شعور عام بالإرهاق
الطفح الجلدي
ظهور آفات على اليدين أو القدمين أو الصدر أو الوجه أو الأعضاء الحساسة
ظهور بقع مسطحة تتحول إلى عقدة صلبة
ظهور بثور تحتوي على صديد
إجراءات الوقاية عند التعامل مع السلالة الجديدة من (Ib MPXV)
ووضعت منظمة الصحة العالمية مجموعة من الإجراءات الوقائية للتعامل مع السلالة الجيدة لجدري القرود، منها:
عدم فقع البثور أو حك القروح، إذ يمكن أن يُبطئ ذلك عملية الشفاء، ويؤدي إلى انتشار الطفح الجلدي إلى مناطق أخرى من الجسم، ويزيد من احتمالية إصابة القروح بعدوى.
تجنب حلق المناطق المصابة بالقروح حتى تمام التئامها.
ضرورة تغطية الآفات وارتداء كمامة ذات مقاس مناسب أثناء التواجد بالقرب من الآخرين، وذلك لتقليل خطر انتقال العدوى.
ارتداء معدات الحماية الشخصية المناسبة مثل القفازات، الرداء الطبي، واقي العينين، وقناع التنفس.
هل جدري القرود سريع الانتشار مثل كورونا؟
أكد الدكتور أمجد الحداد، استشاري الحساسية والمناعة، لـ«الوطن»، أنّ فيروس جدري القرود ليس سريع الانتشار مثل كورونا، إذ ينتقل عبر التلامس المباشر مع الشخص المصاب أو إفرازاته، سواء كان عبر ملامسة الجلد أو سوائل الجسم، لذا فرص انتشاره على نطاق واسع منخفضة بالمقارنة مع كورونا.
