شكرا لقرائتكم خبر عن الصحة: زراعة 12 صماما رئويا بالقسطرة التداخلية العلاجية مجانا بمعهد القلب والان مع تفاصيل الخبر
القاهرة - سامية سيد - كتب وليد عبد السلام
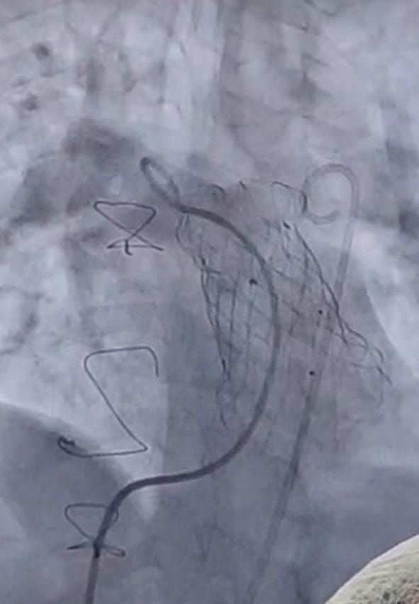
السبت، 05 يوليو 2025 11:12 صأعلنت وزارة الصحة والسكان، زراعة 12 صماما رئويا، من خلال القسطرة التداخلية العلاجية، داخل معهد القلب القومي التابع لهيئة المستشفيات والمعاهد التعليمية، وذلك خلال 6 أشهر، دون تحميل المرضى أي تكاليف مادية، فيما تبلغ تكلفة العملية الواحدة مليون جنيه، وذلك حرصا من الوزارة على توفير أحدث أساليب العلاج للمريض المصري.
وقال الدكتور حسام عبدالغفار المتحدث الرسمي لوزارة الصحة والسكان، إن تغيير الصمام الرئوي عن طريق القسطرة تعد تقنية حديثة، ويجري العمل على التوسع في استخدامها مستقبلًا، لتكون بديلاً آمناً وفعالاً للعديد من جراحات القلب المفتوح، ضمن خدمات التامين الصحي والعلاج على نفقة الدولة.
وأضاف الدكتور محمد مصطفى عبدالغفار رئيس هيئة المستشفيات والمعاهد التعليمية، أن هذه التقنية تعتمد على القسطرة التداخلية العلاجية في زرع الصمام الرئوي، للمرضى الذين يعانون من عيوب خلقية مركبة بالقلب، وخضعوا لجراحات قلب مفتوح في فترات سابقة، وذلك كبديل عن الجراحة المفتوحة، مشيرا إلى أنه منذ بداية عام 2025 وحتى الآن تم بنجاح زرع 12 صمام رئوي، وغادر المرضى المستشفى خلال 48 ساعة من إجراء القسطرة.
ومن جانبه، أوضح الدكتور محمد عبدالهادي مدير معهد القلب القومي، أن هذا الإنجاز الطبي يعكس امكانيات ومهارات الكوادر الطبية بالمعهد ويعد قفزة نوعية في مجال طب القلب التداخلي، ويضع معهد القلب القومي، في مصاف المراكز الرائدة إقليميًا، في هذا التخصص.
زراعة صمام رئوي بالقسطرة التداخلية
يمكنكم متابعة أخبار مصر و العالم من موقعنا عبر جوجل نيوز
